(来源:西安国际医学中心医院服务号)
“从嗜睡到清醒,从鼻饲到经口进食……”这是一位脑胶质瘤患儿家属写下的真实变化,字里行间满是泪水与希望。
近日,我院中医一科(中西医结合肿瘤科)收到一份来自脑胶质瘤患者家属的深情感谢信。信中,家属不仅详细回顾了孩子在我科接受“穿透疗法”治疗期间的点点滴滴,更对中医医院赵晓平院长、杨洋主任及整个医护团队精湛的医术与高尚的医德表达了由衷的敬意与感激。
这封感谢信的背后,是一个关于生命、信任与希望的故事。
01
病情急转直下,信任开启生命通道
感谢信中,家属回忆起初入院时的情景仍心有余悸。孩子病情急转直下,一家人在茫然无措之际,将最后的希望寄托在了中医一科(中西医结合肿瘤科)。
“是赵院长、您和吕医生接诊了我们;当天上午就立即为孩子制定了个性化治疗方案。”家属在信中写道。正是这份高效的响应与专业的担当,为后续的治疗赢得了宝贵时间,也开启了医患之间深厚的信任之旅。

02
中西医结合,精准施治化险为夷
治疗过程并非一帆风顺。针对患儿术后复发的复杂病情,赵晓平院长与杨洋主任团队制定了“中西医结合,多维度打击”的精准治疗策略,实现了1 1>2的治疗效果:
西医“穿透”控局,直击病灶:团队首先运用“穿透疗法”,如同精准制导的“导弹”,直击肿瘤核心,有效抑制了肿瘤细胞的增殖,迅速稳住了病情发展的局面。
中医“扶正”固本,针药并用:在西医精准打击的同时,杨主任同步启动中医“整体调节”模式:
针灸醒脑: 精准选取“百会、四神聪”等要穴,通过针灸疏通经络、醒脑开窍,有效改善了脑部微循环。
中药调衡: 针对患儿“正气亏虚、瘀毒互结”的体质,开具了“益气祛瘀解毒方”。此方标本兼治,既益气扶正以增强免疫力,又活血化瘀、清热解毒以对抗病邪,全面减轻了治疗的副作用。
经过两个周期的中西医协同作战,患儿迎来了显著的好转,
从嗜睡到清醒: 意识状态由嗜睡转为清醒,眼神逐渐有了光彩。
从鼻饲到经口: 进食功能逐步恢复,从完全依赖鼻饲过渡到能够缓慢经口进食。
肢体功能改善:左侧肢体肌力也缓慢恢复,生活质量明显得到提升。
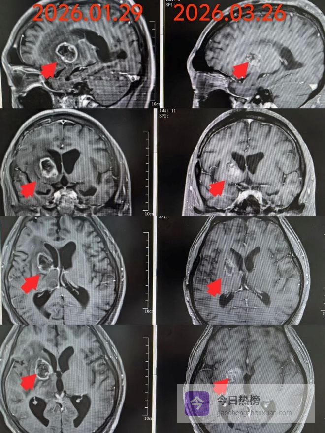
影像学改善: 复查颅脑MR显示,病灶及周围水肿得到明显改善,病情得到有效控制。
杨洋主任在查房后,第一时间指着电脑屏幕上的影像,细致地为家属讲解治疗前后的变化。那些微小的改善,在医生眼中是治疗的成果,在家属心中则是重生的希望。

“您和吕医生为短时间内孩子有这样出乎意料之外疗效的欣喜溢于言表……让我们深切感受到了您和吕医生不仅仅是孩子的医生,更胜似家人。”家属的言语中,充满了对治疗效果超出预期的惊喜与感动。
03
团队合力,铸就温暖康复港湾
感谢信中,除了对赵院长和杨主任的特别致谢,家属还用大量笔墨赞扬了强大的团队凝聚力和无微不至的护理服务。
吕晶医生:被家属称为“操心最多”的医生,从方案讲解、药品调度到出院后跟踪指导,无论班内还是节假日,总是第一时间回复家属疑问。
陈卓医生:紧急联系药品,解决燃眉之急。
黄振家医生:协助处理药品援助事宜。
丁丁医生:细致指导用药。
陈洋洋医生:紧急处理孩子呕吐等突发状况。
护士长及护理团队:从入院第一天的亲切问候,到每日多次的病房探望与鼓励,再到深夜凌晨的及时响应,为患儿及家属提供了全方位的便利与温暖。
“您带领的团队,是我们去过的几家医院之中,最有亲和力、向心力和凝聚力的团队。”家属的这句评价,是对我科团队协作精神与服务理念的最高褒奖。
医患同心,共筑生命希望
“这一切的一切,让我们倍感暖心和敬佩……也让我们更加坚定地相信:把孩子的治疗,托付给赵院长和您带领的团队,是无比正确的选择……”
这封饱含深情的感谢信,不仅是对我院医疗技术和服务质量的肯定,更是对全体医护人员辛勤付出的最好回馈。它见证了医患之间从陌生到信任,从焦虑到安心的心路历程,也彰显了我院中医一科(中西医结合肿瘤科)“以患者为中心”的服务宗旨。
未来,全体医护人员将继续秉持初心,精进医术,优化服务,为更多像这样的家庭带去希望与光明,用专业与爱心守护每一位患者的生命健康。
原创文章,作者:郭峰,如若转载,请注明出处:http://www.gaochengzhenxuan.com/rebang/17767.html